Laryngoplasty for the Comprehensive Otolaryngologist
What to know about postoperative frequency-altering laryngoplasty care.
C. Michael Haben, MD, MSc

The following article provides highlights from the Expert Lecture, “Gender Affirming Surgery of the Head & Neck for the Comprehensive Otolaryngologist,” presented at the AAO-HNSF 2024 Annual Meeting & OTO EXPO.
Frequency-altering laryngoplasty procedures, both pitch-elevating feminization and pitch-lowering masculinization, are more commonly performed today. Despite their prevalence, the majority of these procedures are performed in only a handful of centers in the United States. This means that patients are traveling for their procedures and returning to their home communities where their local otolaryngologist may be tasked with managing the airway. These laryngeal procedures have short-, intermediate-, and long-term impacts on the airway, which can be significant and should be appreciated by otolaryngologists as the ultimate authority on airway management.
In the authors’ practice, approximately 70% of this population are male-to-female transgender patients presenting for pitch-elevating feminization laryngoplasty. The remaining 30% are split evenly between female-to-male transgender and cisgender male patients seeking pitch-lowering masculinization voice surgery. In contrast to medialization laryngoplasty (i.e., Isshiki Type 1 thyroplasty) for unilateral vocal fold immobility, frequency-altering laryngoplasty, which are primarily modifications of Isshiki Type 3 and Type 4 thyroplasty, have a greater impact on the laryngeal anatomy in terms of trans-oral endotracheal intubation and options for establishing an urgent surgical airway.
Feminization Laryngoplasty
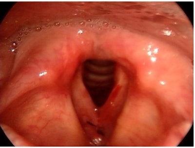
In the simplest terms, pitch elevation is achieved by making the vocal folds shorter, tighter, and thinner, analogous to the strings of a piano as one moves from the lower to higher notes. Alone or in combination, there are several techniques available to achieve these goals via an endoscopic and/or open transcervical approach. The most used technique for pitch elevation is a Wendler glottoplasty where the anterior commissure is retrodisplaced endoscopically and a controlled glottic web is created. This procedure “shortens the strings” sufficiently in most well-chosen younger patients. Refer to Figures 1a and 1b for a pre- and post-completion intraoperative laryngoscopy.
Figure 1a and 1b. Intraoperative direct laryngoscopy before (a) and after (b) endoscopic feminization laryngoplasty.
Postoperative day (POD) 0 through POD 7. The most obvious short-term airway concern is acute edema. Figure 2 demonstrates an average amount of expected postoperative day 1 edema and ecchymosis. All patients in the authors’ practice receive intraoperative dexamethasone and postoperative methylprednisolone. Mandatory POD 1 laryngoscopy is performed with >98% of patients deemed safe for return travel. Misunderstanding and non-compliance with postoperative steroids could have profound airway consequences that may not be evident until the patient has returned home.
Figure 2. Postoperative day 1 transnasal laryngoscopy showing an expected amount of edema and ecchymoses following endoscopic feminization laryngoplasty.
POD 8 through POD 30. During this time, an endoscopic glottoplasty is far from mature and essentially held in place by two 4-0 sutures. Patients are strongly advised against elective procedures with even the possibility of intubation for at least three months and preferably six months. For non-elective or emergency procedures, the intermediate-term risk is for intubation trauma causing dehiscence of the surgical web. For this reason, laryngeal mask airway (LMA) is the preferred airway unless it is strictly contraindicated. When endotracheal intubation is necessary, the ideal method would utilize an endotracheal tube no larger than 6.0 cuffed, placed by an experienced provider using a Glide-scope or similar video-assisted device. Preoperative IV steroids should be given and a deep extubation reduces the trauma from post-extubation coughing, a major risk factor for suture disruption and failure of the feminization laryngoplasty.
It is not unusual for patients to present to their local otolaryngologist seeking reassurance of the integrity of the endolaryngeal sutures within the first postoperative month while still on voice rest. Starting from postoperative days five to seven (Figure 3a), nearly all patients will have some granulation tissue obscuring visualization of the sutures. It is highly unlikely that the granulation tissue becomes obstructive or an airway concern in and of itself. Most of all, granulation is expected to resolve by 12 months and typically requires no treatment. An example of persisting granulation tissue found on POD 30 is seen in Figure 3b.
Figure 3a and 3b. Typical presence of granulation tissue overlying the surgical web and sutures at POD 5 (a). Note that much of the edema and ecchymoses seen on POD 1 has resolved. Persisting granulation tissue is again noted on POD 30 (b).
POD 31 and beyond. Although the endoscopic glottoplasty is not considered mature until at least three months, the most consequential airway concern after day 30 is relative to those who have had a transcervical cricothyroid approximation (CTA) in addition to an endoscopic procedure. An adjunct CTA is common in those who are older than 40 years or have a low preoperative speaking fundamental frequency. A CTA is used to “tighten and thin the strings.” The cricothyroid space is obliterated in the procedure and by POD 30 it would be very difficult to perform an urgent crico-thyrotomy, should an emergency airway become necessary. A formal tracheostomy is preferred.
There are three final airway pearls in the post-feminization laryngoplasty population. First, most patients have also had cosmetic thyroid chondroplasty to reduce the projection of the thyroid notch. When performed correctly, an “Adam’s apple (i.e., tracheal) shave” has no negative impact on the airway or laryngeal anatomy apart from obscuring certain landmarks. Secondly, once matured, feminization procedures, both open and endoscopic, are deemed essentially non-reversible, as are the changes to laryngeal anatomy and concomitant airway considerations. Finally, it is highly unusual for patients to have subjective breathing complaints following feminization voice surgery. Pulmonary function testing does not show meaningful changes to expected flow-volume loops. As such, the ability to use mask ventilation is unaffected long-term.
Laryngoscopy 12 months after feminization laryngoplasty with a pre- and post-audio recording of the “rainbow passage” may be reviewed in Figure 4 and Audio File 1.
Figure 4. 12-month status post feminization laryngoplasty. Note: neither granulation tissue nor sutures are seen. The surgical web is mature.
Audio File 1. Pre- and 12-month post-feminization laryngoplasty audio recording of the “rainbow passage” of the patient in Image 4.
Pitch-Lowering Masculinization Laryngoplasty
Pitch reduction masculinization is performed from a transcervical approach as a variation of a bilateral Isshiki Type 3 thyroplasty. Tension on the vocal folds is released by disengaging the central portion of the thyroid cartilage where the vocal folds and anterior commissure attach and depressing the segment inward. The author uses the following modified technique to preserve the projection of the thyroid notch,1 as depicted in Figures 5 and 6.
Figure 5 and 6. Author’s technique for transcervical masculinization laryngoplasty preserving the projection of the thyroid notch.
POD 0 through 7 have similar short-term airway concerns as those for feminization procedures except that the severity of postoperative edema and ecchymosis are expected to be significantly greater. POD 1 laryngoscopy is presented in Figure 7. Unlike feminization procedures, masculinization laryngoplasty has the added risk that modest blunt anterior laryngeal trauma could translate into clinically significant airway compromise. As such, postoperative restrictions regarding contact sports are in place. Instrumentation of the airway with an intubating laryngoscope, with or without video assistance, should be done with extreme caution. Transoral fiberoptic intubation would be preferred if an acute airway could not be managed with mask ventilation or LMA. It should be noted that masculinization laryngoplasty does not result in vocal fold mobility deficits in either the short or long term. Full abduction and adduction of the vocal folds with normal movement of the arytenoids are preserved.
Figure 7. Postoperative day 1 laryngoscopy depicting an average degree of edema and ecchymoses following masculinization laryngoplasty.
POD 8 through 30 present with similar difficulties related to airway instrumentation in the intermediate term as in the short term, however, the endolaryngeal edema and ecchymoses are primarily resolved. The chondrotomies and depressed central portion of the thyroid cartilage are not nearly secured, yet their stability would be much greater on POD 30 than on POD 8 and dependent on the age of the patient and degree of baseline ossification. Elective intubation is contraindicated during this time with the airway best managed by LMA or mask anesthesia if possible. When endotracheal intubation is necessary, a trans-oral fiberoptic approach is safest. Video-assisted intubating laryngoscopes may be used with a high degree of caution after careful laryngeal assessment via pre-anesthesia trans-nasal laryngoscopy.
There are few significant long-term considerations if uncomplicated maturation and healing occur. It should be noted that it is not uncommon for cisgender men undergoing masculinization laryngoplasty to do so for pubraphonia related to an underdeveloped (infantile) larynx. Although a fully mature masculinization procedure does not cause additional long-term concerns, the underlying pathology and inherent difficulties encountered in intubating a congenitally small larynx should be appreciated. A comparison of pre-op and fully matured masculinization laryngoplasty appears in Figures 8a and 8b with a pre- and post-audio recording of the “rainbow passage” in Audio File 2.
Figure 8a and 8b. Pre- (a) and 9-months post (b) masculinization laryngoplasty. Note the degree of tension released from the vocal folds.
Audio File 2. Pre- and nine-months’ post-masculinization laryngoplasty audio recording of the “rainbow passage” of the patient in Figures 6a and 6b.
Conclusion
General otolaryngologists must understand the anatomic changes to the larynx and their short-, intermediate-, and long-term consequences on the airway and endotracheal intubation postoperative frequency-altering laryngoplasty. This is especially true during the immediate postoperative period for patients who have recently been operated on in a city or state that is not their home. As guardians of the airway, otolaryngologists are uniquely tasked with pre-anesthetic assessment and the ultimate airway management.
Resources
Haben, CM. Masculinization laryngoplasty. Otolaryngology Clinics of North America. 55(4):757–765, 2022.


















